在医学界,百岁老人手术常被视为“禁区”,而近日,ac米兰官方网站附属第一医院关节外科卢伟杰主任医师团队成功完成一台114岁超高龄患者的股骨头置换术,突破“年龄枷锁”——术后无须转入ICU,仅仅72小时过后,患者钟奶奶便扶着助行器重新站立起来,迈出前进的步伐。这场“高龄攻坚战”不仅展现了医疗技术的突破,更诠释了对生命尊严的守护。

当“人生最后一次骨折”遇上世纪老人
这位114岁的患者,在家中因不慎跌倒致右侧股骨转子间骨折,卧病于床。对于如此超高龄的患者而言,骨折不仅带来了身体上的痛苦,更对其生活质量和生命健康构成了严重威胁。
保守治疗需长期卧床,可能引发肺部感染、泌尿系统感染、深静脉血栓形成、压疮等一系列并发症,随时危及生命。据文献报道,髋部骨折不治疗可导致九十多岁老人和百岁老人的1年死亡率超过60%;而选择手术治疗则需直面心肺功能衰退、多器官衰竭等风险。老年人这类髋部骨折被称作“人生最后一次骨折”,超高龄患者常因其并发症走向生命终点。


施行人工股骨头置换术术后72小时即可行走
面对两难境地,家人辗转来到广医一院关节外科寻求卢伟杰主任的帮助,希望能解决疼痛,让老人重新站立起来。卢伟杰团队凭借丰富的关节外科手术经验毅然开启这场生命保卫战。
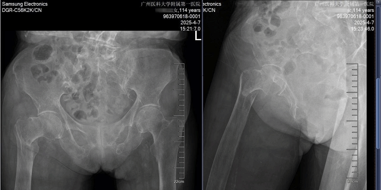
术前全面评估,患者术前有下肢DVT、肺部感染、慢性心功能不全、中度贫血、低蛋白血症,X线片显示股骨皮质极薄、股骨髓腔呈“烟筒样”改变。术前多学科会诊并给予抗凝、控制肺部感染、改善贫血和低蛋白血症、治疗骨质疏松、改善心功能,为麻醉、手术治疗创造条件。
经过精心术前准备,患者各项指标明显改善,考虑到患者骨质疏松非常严重和早期下地活动的要求,经多学科讨论,并且与家属充分沟通和慎重考虑,卢伟杰团队最终决定采用水泥型人工股骨头置换术进行治疗。

麻醉科温晓晖主任医师贯彻无管化(Tubeless)理念,采用腰硬联合麻醉技术,避免全麻对呼吸、循环系统的冲击,为脆弱心肺筑起保护屏障。

手术在卢伟杰主任医师的带领下稳步进行,手术团队配合默契、采用骨水泥固定技术,减少出血量、便于患者早期下地行走,在顺利完成关节置换的同时,极大降低手术创伤对病人的影响。由于准备充分,对患者全身情况干扰较少,手术结束后,患者直接返回普通病房,继续康复治疗。

回到病房,宋丽娟护士长及护士们秉承(ERAS)快速康复理念,对患者精心照料,从伤口护理到疼痛管理,从饮食搭配到康复训练,每一个细节都做到“零疏漏”。

经过多学科医生、麻醉、护理多方紧密配合,百岁老人的生命体征平稳,患肢的血液循环和关节活动情况良好,未出现并发症。
患者术后72小时即实现行走突破,已能在助行器的帮助下行走活动,生活质量得到了显著改善。“她的毅力,连年轻人都自愧不如。”宋丽娟护士长感慨道。这场与时间的赛跑、与生命的较量,是医疗技术的胜利,也是精细化护理与人文关怀的完美结合。


术前术后X光照片






医患温馨时刻